Healthy Gums, Healthy Smile
Expert periodontal care at The Dental Surgery Burnham to treat gum disease and support long-term oral health.
Advanced care for healthy gums
Gentle, comfortable treatment approach
Protect and preserve your natural teeth
Personalised maintenance plans for long-term health
Dr Hiten Halai
Leading gum specialist in London and the South East
GDC No. 229956
The aim of treatment for gum disease is to retain and safe guard your existing teeth for as long as possible. Dr Halai will support you to achieve a level of stability in your gums allowing you to eat, talk, and smile with confidence. use this to create
5 steps to a new smile with The Dental Surgery Burnham
Your visit begins with a detailed gum and bone health examination. Dr Hiten Halai measures pocket depths, checks for inflammation, and carries out any necessary diagnostic imaging to understand the extent of periodontal disease.
Based on your assessment, Dr Halai creates a tailored periodontal plan, outlining the stages required to stabilise your gum health and prevent further deterioration.
Most patients begin with deep cleaning treatments such as scaling and root planing. These procedures remove harmful bacteria and smooth root surfaces to support healthy reattachment of the gums.
For more complex cases, Dr Halai may recommend specialist treatments such as pocket reduction therapy, regenerative procedures, or soft-tissue grafting to restore lost support and enhance gum stability.
Periodontal health requires ongoing care. Dr Halai provides a structured maintenance programme with regular reviews and professional hygiene visits to ensure long-term gum stability and prevent recurrence.
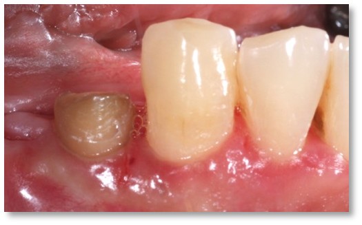
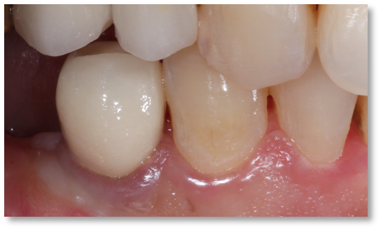
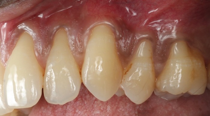
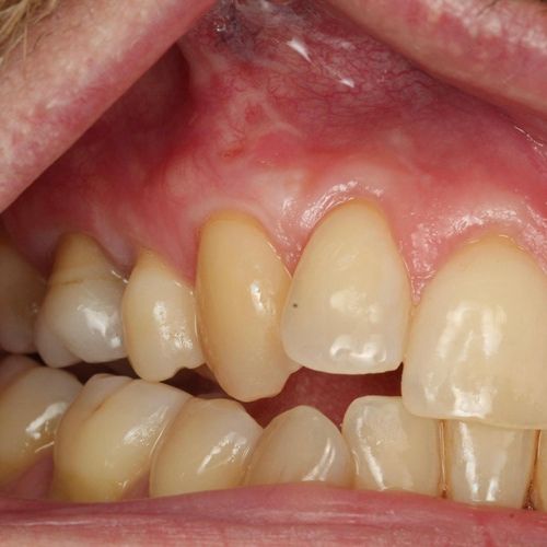
Before and after Periodontal Therapy




Advanced Gum Care: Non-Surgical & Surgical Options Available
Trusted Gum Disease Treatment in Slough, Windsor, Maidenhead & Surrounding Areas
Testimonials
⭐️ Patient Reviews
See what real patients have to say about their experience at The Dental Surgery Burnham.
EXCELLENT Based on 353 reviews Carole Johnson29 September 2025Trustindex verifies that the original source of the review is Google. Always receive really good, professional treatment and advice from Alex. The young receptionist (Chineme?) is also a credit to the practice. Sandra Harry29 September 2025Trustindex verifies that the original source of the review is Google. Very friendly staff, my Dentist is friendly, kind and caring. Easy to get appointments and always fit you in if it's a emergency. Pierre25 September 2025Trustindex verifies that the original source of the review is Google. Very good and useful advices, well equipped, clean areas, friendly staff. I like and would recommend the surgery Humzah Lopez25 September 2025Trustindex verifies that the original source of the review is Google. Alex and Judith were very helpful Denis Swiatek24 September 2025Trustindex verifies that the original source of the review is Google. I visited one of the Hygienists yesterday who was very thorough and did a great job cleaning my teeth. Steve Neale24 September 2025Trustindex verifies that the original source of the review is Google. The Hygenist Judit is great - she really pays attention to detail and keeps my teeth and gums healthy. Roberta Edginton24 September 2025Trustindex verifies that the original source of the review is Google. My hygenist and dentist are both lovely and perform to the highest professional standards. Terry Rose23 September 2025Trustindex verifies that the original source of the review is Google. Just wanted to say that nam the dentist was very helpful and understanding it helped that he is a Liverpool supporter put me at ease Thank you for your service Terry E Smith22 September 2025Trustindex verifies that the original source of the review is Google. Had a regular check up today, thankfully all ok 😁 Pleasant experience. NHS patient.
Our Advanced Periodontal Treatments
Our thorough clinical examination begins with a complete assessment of your teeth and oral tissues, followed by a detailed evaluation of your gum health. We measure pocket depths, check for gum bleeding, recession, and tooth mobility to accurately determine the extent and severity of your condition
PERIODONTAL (GUM) DISEASE
What is Periodontal (Gum) Disease?
Gum tissues support teeth and attach them to the underlying jaw bone. Gum disease is an infection and inflammation of these gum tissues and can lead to loss of the bone around teeth, if left untreated.
It is caused by a white sticky substance called plaque that forms in everyone’s mouths and collects around the teeth and gums. Many bacteria found in plaque produce toxins that damage the gum tissues.
Gum disease is more common than tooth decay and it is the most common cause of tooth loss in the UK. Mild to moderate gum disease affects 50-70% of adults, and severe gum disease affects 10-15%.
Severe gum disease is when the disease advances and causes destruction beyond the gums into the underlying jaw bone. This leads to loosening of the gum around the tooth and the formation of gum ‘pockets’ that harbour plaque and calculus (tartar). Its effects are irreversible, but it can be stabilised.
We know that smoking, stress, genetics and diabetes amongst other things can increase a person’s risk of getting periodontitis. Some medicines such as those often used to treat epilepsy or high blood pressure can also cause gum related problems.
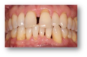
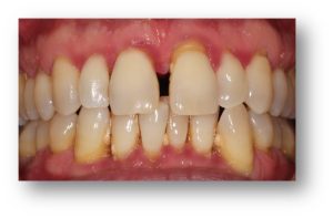
![]() | ![]() |
| Untreated severe gum disease | Gum disease treated and stabilised by Dr Halai |
How do I know if I have gum disease?
Common signs of gum disease include:
- Red and puffy gums
- Bleeding gums
- Wobbly or loose teeth
- Bad taste or breath
- Gaps between teeth
- Pus from the gum
- Sore or achy gums
- Receding gums
- Sensitive teeth
If gum disease is left untreated it can lead to tooth loss, subsequent difficulty in eating and lack of confidence when talking or smiling. Recent evidence has also shown that poor gum health may impact diabetic control and heart disease.
Why do I need to see Dr Halai?
In some cases, gum disease can be managed successfully by your regular dentist or hygienist. However, if there is a persisting problem or if the condition is advanced and extensive you may benefit from seeing Dr Halai as he has advanced training and experience in managing such conditions.
He will ensure the highest quality care and treatment is provided to manage the problem. Dr Halai will work closely with your regular dentist and hygienist to help stabilise the gum condition.
NON-SURGICAL PERIODONTAL (GUM DISEASE) THERAPY
What is ‘non-surgical periodontal therapy’?
Non-surgical periodontal therapy has remained the first line treatment approach for patients suffering from gum disease for over 50 years. When completed and maintained optimally, this technique has been clearly shown in clinical research studies to be effective in stabilising gum disease and reducing the likelihood of tooth loss.
The most important phase of the treatment is ensuring optimal home care. Dr Halai will spend some time assessing and modifying your current oral hygiene practice such that it is tailored to your specific needs. Your compliance with this part of the treatment will be key to a successful treatment outcome.
The next phase of the treatment involves removal of the harmful bacteria and rough calculus (tartar) deposits that may encourage more bacterial build up under the gum line using very fine, precision instruments. The treatment is carried out under local anaesthetic to ensure you are completely comfortable throughout. If your gum condition is generalised the treatment may be completed over several visits where each quarter or each half of the mouth will be numbed and treated.
Once this initial phase is completed the response to the treatment will be reassesed 3 months later. If the gum disease appears to have stabilised, Dr Halai will discuss with you an appropriate supportive programme to help keep the gum disease under control. Some patients with severe gum disease may need further advanced treatment to stabilise the condition and Dr Halai will discuss with you at the time.
![]() | ![]() |
| Untreated severe gum disease | Gum disease treated and stabilised by Dr Halai |
What are the risks and benefits of this treatment?
- Increased lifespan of affected teeth
- Improved chewing capacity and function
- More confidence when talking and smiling
- Eliminate soreness and bleeding in gums
- Eliminate bad breath
- Remove staining
- Reduce mobility in teeth
- Reduce gum ‘pocket’ depths and help maintain effective home care
- Facilitate gum health maintenance with dentist or hygienist
- Temporary increase in teeth sensitivity
- Mild pain/discomfort after the treatment (manageable with standard painkillers)
- The gums can recede slightly as part of the healing process
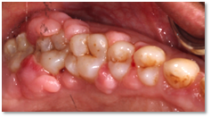
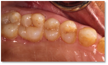
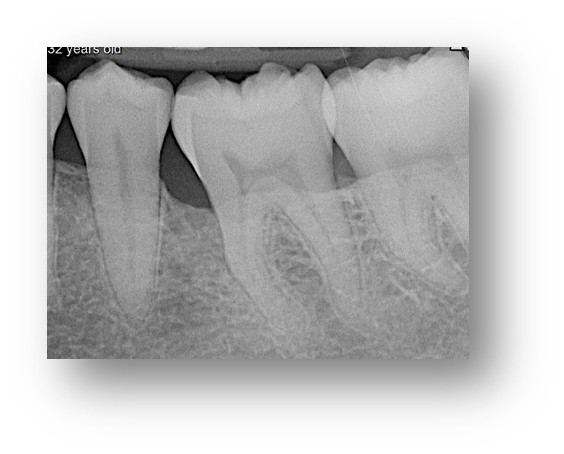
PERIODONTAL (GUM DISEASE) POCKET REDUCTION SURGERY
What is pocket reduction surgery?
Ocasionally, in advanced gum disease, non-surgical periodontal treatment can not entirely stabilise the condition. In such cases the gum ‘pocket’ remains deep and has an increased risk of harbouring bacteria, as such they are difficult to maintain and can lead to loss of the tooth, if not treated.
The procedure aims to allow direct access to the tooth root surfaces by minimally raising the gums. By doing this, Dr Halai will be able to ensure all the calculus (tartar) has been removed from the roots and the gum and underlying bone anatomy can be improved to help reduce the gum ‘pocket’. In some specific situations it can be possible to graft new bone where it has been lost. Dr Halai will discuss this option with you, if it is applicable.
The procedure is always carried out under local anaesthesia to ensure you are comfortable throughout. After the surgery it may be necessary to place a few stitches to hold the gum whilst it heals. Dr Halai will remove the stitches and review healing approximately 2 weeks after the surgery.
![]() | ![]() |
![]() | ![]() |
| Before and after surgery to reshape gums | X-ray showing results before and after bone graft surgery |
What are the risks and benefits of this treatment?
Benefits
- Increased the lifespan of affected teeth
- Possibility to regrow lost bone
- Eliminate soreness and bleeding in gums
- Direct access and visibility to clean roots and reshape gum/bone.
- Reduce gum ‘pocket’ depths and help maintain effective home care
- Help maintain gum health with dentist or hygienist
Main Risks
- Temporary increase in teeth sensitivity
- Mild pain/discomfort and swelling after the procedure (manageable with regular painkillers)
- The gums can recede slightly as part of the healing process
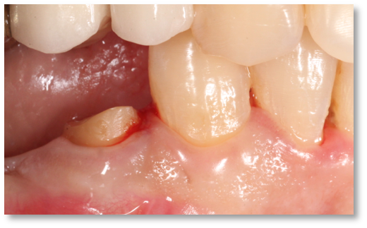
CROWN LENGTHENING SURGERY
What is crown lengthening surgery?
Crown lengthening surgery is a routine procedure carried out for teeth that have fractured or heavily broken down to the point that very little tooth now remains above the gum line. In order to place a new filling or crown on the tooth your dentist has asked Dr Halai to reshape the gum and underlying bone such that more tooth structure is available. This technique can also be used for patients who have ‘gummy’ smiles or irregular gum lines.
Dr Halai will first carry out a thorough examination of the amount of gum and bone that will need to be reshaped. The actual procedure is carried out under local anaesthetic to ensure your comfort throughout. After the procedure stitches may be placed to hold the gum in the new desired position. These stitches will be removed approximately 2 weeks later and Dr Halai will also review the healing. He will then liaise with your dentist about the best time to place the new crowns or fillings, if necessary.
| ![]() | ||
![]() | ![]() | ||
| Crown lengthening to provide more tooth structure to support a crown | Correction of a ‘gummy’ smile |
What are the risks and benefits of this treatment?
- Allow exposure of more tooth structure to support crown or filling
- To make the gum line symmetrical
- To make the appearance of your smile more harmonious
- Temporary increase in teeth sensitivity
- Mild pain/discomfort and swelling after the procedure (manageable with regular painkillers)
- Small risk of relapse of the gum position
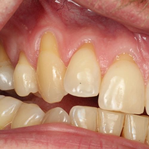
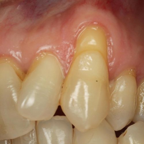
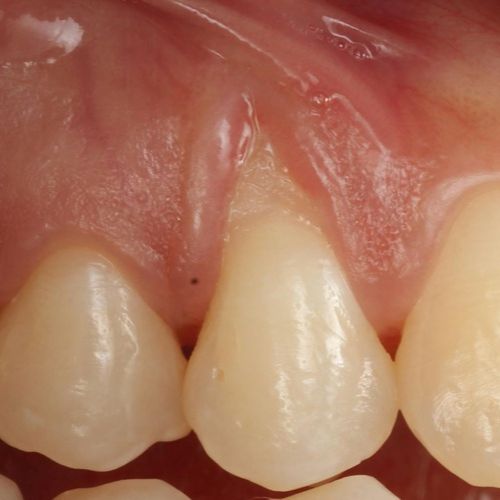
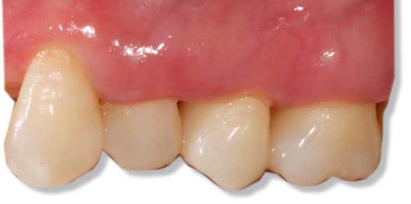
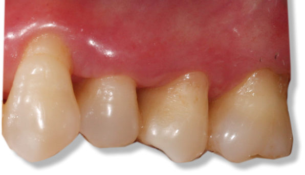
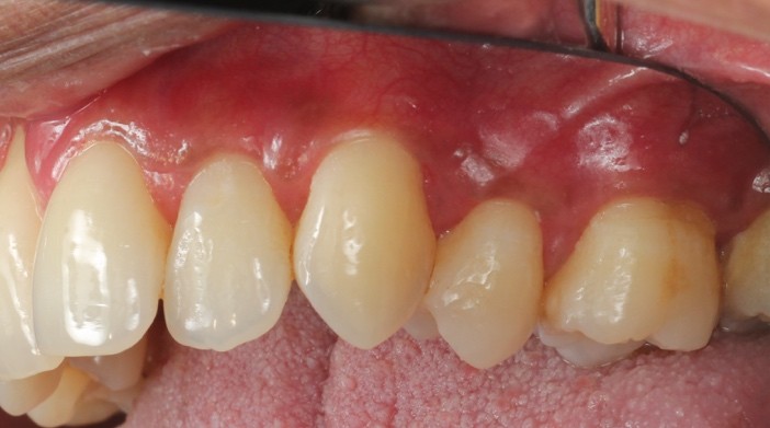
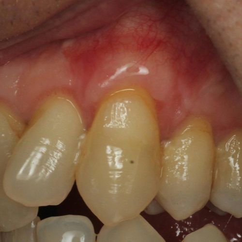
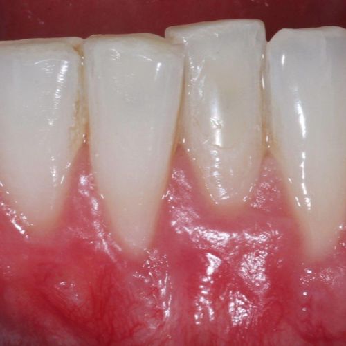
GUM RECESSION SURGERY
What does gum recession surgery involve?
Gum recession often occurs as a result of a combination of factors. These may include thin gums, overzealous brushing and teeth crowding, amongst others. It is therefore important that the cause of the problem is determined and corrected. In some cases, that is all that is required to prevent further gum recession. In other cases, minor surgery is often required to correct the problem and to also provide long term protection against further recession. The type of procedure required will depend on the shape of the gum recession and the aims of the treatment.
Dr Halai will carry out a thorough examination to determine the most appropriate treatment approach.
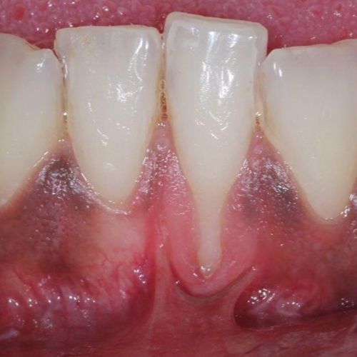
The most common is called a ‘free gingival graft’ and is commonly used for the lower front teeth. A small piece of tissue from the roof of your mouth is transferred to the site where the gum has receeded. This works to thicken the gum and make oral hygiene easier in the affected site. In other cases where the gum recession is an aesthetic issue, a different treatment approach would be required.
![]() | ![]() |
![]() | ![]() |
| Free gingival graft surgery’ to thicken gum and prevent further recession | Gum recession surgery in an aesthetic site |
What are the risks and benefits of this treatment?
- Provide long term protection against further recession
- Improve appearance of gums
- Make oral hygiene easier to perform
- Reduce tooth sensitivity
- Reduce risk of root decay
- Mild pain/discomfort and swelling after the procedure (manageable with regular painkillers)
- Slight residual gum recession in advanced cases
- Risk of relapse if not maintained well

















